14 年
手机商铺
公司新闻/正文
208 人阅读发布时间:2026-01-14 15:26
代谢功能障碍相关脂肪性肝炎(MASH)作为代谢功能障碍相关脂肪性肝病(MASLD)的进展型亚型,已成为全球重大健康挑战,影响超30%的成年人群。约20-30%的MASLD患者会进展为MASH,显著增加肝硬化、肝癌及肝衰竭风险,然而当前治疗手段有限,亟需挖掘MASH特异性致病通路与潜在治疗靶点。整合素β3(ITGB3)作为细胞外基质与细胞间信号传导的关键受体,已知其可通过激活肝星状细胞促进肝纤维化,但能否直接调控肝细胞脂质代谢及其分子机制尚未明确。
2025年12月8日,华中科技大学同济医学院附属同济医院曾和松教授、王洪杰副教授与重庆医科大学脂质研究中心阮雄中教授团队合作在Advanced Science(IF=14.1)发表了题为“Integrin β3 Orchestrates Hepatic Steatosis via a Novel CD36-Dependent Lipid Uptake Complex”的研究结果,揭示了ITGB3作为肝脂肪变性的驱动因素发挥作用的机制。
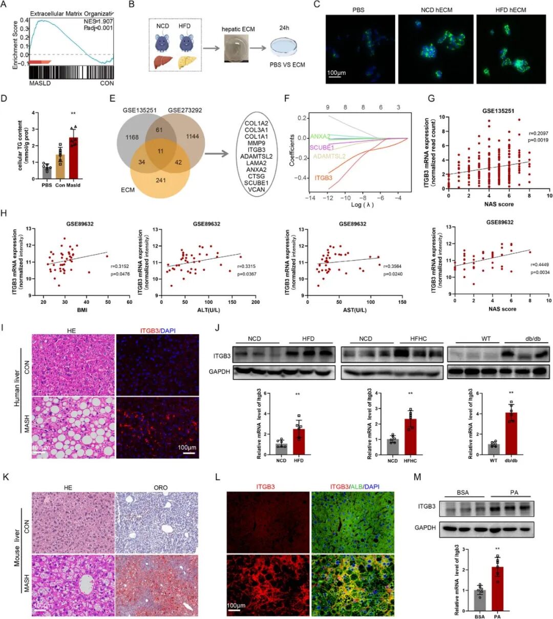
研究通过多层面验证发现,ITGB3在MASH患者及动物模型的肝细胞中呈现一致性高表达。临床样本分析显示,MASH患者肝组织中ITGB3的mRNA和蛋白水平显著升高,且与疾病严重程度、肥胖指标呈正相关。在高脂饮食(HFD)、高脂高胆固醇饮食(HFHC)喂养的小鼠及db/db肥胖糖尿病小鼠等多种MASH模型中,肝细胞内ITGB3表达同样显著上调,并与肝脏脂肪变性、炎症程度密切相关。体外实验进一步证实,脂毒性物质棕榈酸(PA)处理肝细胞可诱导ITGB3表达,提示代谢应激是激活ITGB3的重要诱因,这为后续探究其功能奠定了基础。

图1 ITGB3在人和小鼠MASH肝脏中表达上调
为明确ITGB3的功能,研究采用肝细胞特异性过表达与敲除策略开展实验。结果显示,通过AAV介导肝细胞特异性过表达ITGB3会显著加重HFD诱导的小鼠肥胖、胰岛素抵抗,同时加剧肝脏脂肪变性、炎症浸润及纤维化,血清甘油三酯(TG)、谷丙转氨酶(ALT)、谷草转氨酶(AST)及肝脏TG水平均显著升高;反之,肝细胞特异性敲除ITGB3可有效缓解HFD和HFHC诱导的上述病理表型,改善小鼠能量代谢,且在正常饮食(NCD)下,HKO与对照小鼠的生理代谢无显著差异,表明ITGB3对脂质代谢和炎症的调控具有病理依赖性。

图2 肝细胞ITGB3过表达促进高脂饮食诱导的肝脂肪变性

图3 肝细胞特异性ITGB3敲低可改善高脂饮食和高脂高胆固醇饮食诱导的MASH
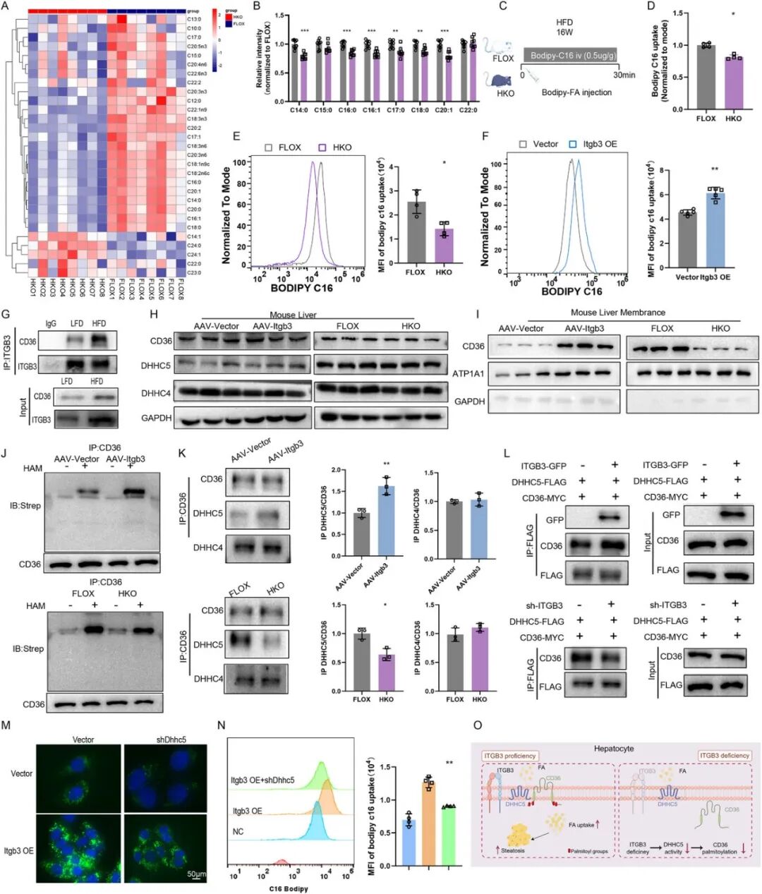
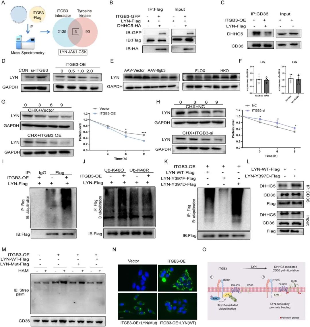
研究首次揭示了ITGB3调控MASH的关键分子通路:ITGB3通过形成ITGB3/DHHC5/CD36复合物,促进长链脂肪酸摄取,进而驱动肝脂肪变性。具体而言,ITGB3与脂肪酸转运蛋白CD36直接相互作用,且HFD喂养可增强该结合;ITGB3不影响CD36总蛋白水平,但能促进其向细胞膜定位。进一步研究发现,CD36的膜定位依赖棕榈酰化修饰,而DHHC5是介导这一修饰的关键棕榈酰转移酶,ITGB3可通过增强DHHC5与CD36的相互作用,显著提升CD36棕榈酰化水平。在HepG2细胞中沉默DHHC5,可有效逆转ITGB3过表达诱导的CD36膜定位增强及脂质积累,证实DHHC5是ITGB3调控脂质代谢的核心下游分子。

图4 ITGB3通过DHHC5促进长链脂肪酸的摄取和CD36棕榈酰化
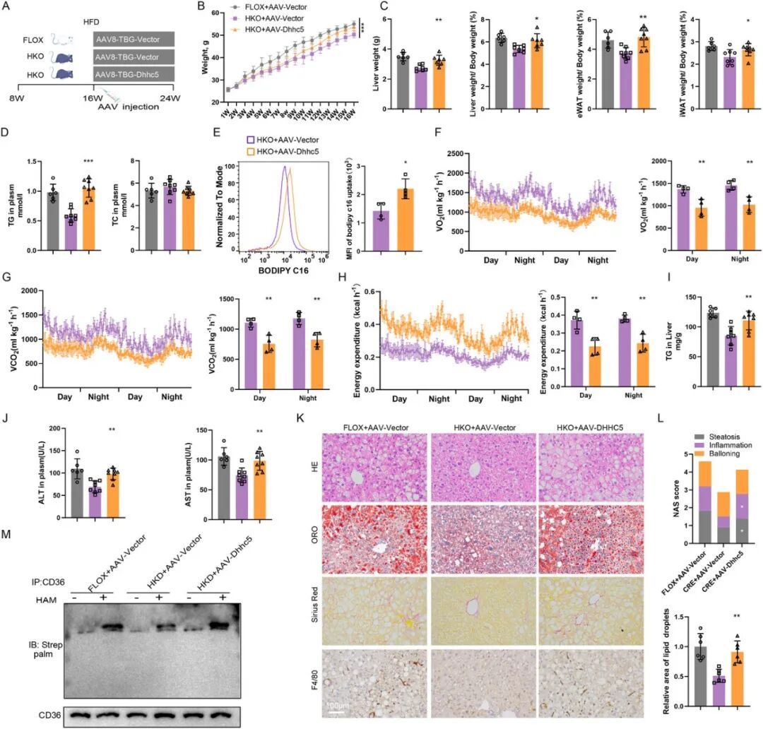
为进一步验证ITGB3-DHHC5-CD36通路的特异性,研究利用AAV在ITGB3敲除(HKO)小鼠中过表达DHHC5。结果显示,DHHC5过表达可显著逆转HKO小鼠的代谢保护表型,导致体重、肝脏重量增加,血清TG及肝脏TG水平升高,胰岛素抵抗加重,同时肝脏脂肪变性、炎症及纤维化程度显著恶化。分子层面,DHHC5过表达可恢复因ITGB3敲除而降低的CD36棕榈酰化水平,直接证实DHHC5是ITGB3调控脂质代谢的关键下游效应分子,该通路在MASH发病中具有核心作用。

图5 DHHC5补充可恢复高脂饮食诱导的HKO小鼠肝脂肪变性
通过免疫沉淀-质谱分析,研究鉴定出SRC家族激酶LYN是ITGB3与DHHC5的共同结合伴侣,且LYN可负向调控DHHC5与CD36的相互作用。机制上,ITGB3通过Y397位点磷酸化招募LYN,并促进其K48连接的泛素化及蛋白酶体降解;LYN降解后,其对DHHC5的抑制作用解除,进而增强ITGB3/DHHC5/CD36复合物的功能活性。突变实验证实,LYN的Y397位点磷酸化对其稳定性至关重要,该位点突变可抑制其泛素化降解,维持对DHHC5的抑制,从而减少CD36棕榈酰化与脂肪酸摄取,这一发现厘清了LYN在脂质代谢中的争议性作用,明确其为ITGB3通路的核心调控节点。

图6 ITGB3介导的LYN稳定作用调控CD36棕榈酰化及其后续的脂质摄取
基于上述机制,研究评估了靶向ITGB3的治疗效果。一方面,肝细胞特异性ITGB3敲低可显著改善HFD小鼠的体重、肝脏重量及血脂紊乱,提升葡萄糖耐受性,同时显著减轻肝脏脂肪变性、炎症及纤维化,降低CD36棕榈酰化水平;另一方面,使用ITGB3特异性抑制剂cyclic-RGDfk进行药物干预,无论是短期还是长期,均能有效改善小鼠肥胖、胰岛素抵抗及血脂异常,且显著缓解肝脏病理损伤,同时未观察到明显肝肾毒性。这表明无论是基因沉默还是药物抑制,靶向ITGB3均能有效改善MASH表型,凸显其作为治疗靶点的巨大潜力。

图7 ITGB3靶向治疗可减轻MASH
华中科技大学同济医学院附属同济医院张营博士和代磊博士为本文的共同第一作者,华中科技大学同济医学院附属同济医院曾和松教授、王洪杰副教授与重庆医科大学脂质研究中心阮雄中教授为本文的共同通讯作者。

和元生物技术(上海)股份有限公司(股票代码:688238)作为一家在科创板上市的高新技术企业,自2013年成立以来,始终深耕细胞和基因治疗核心领域,专注于为细胞和基因治疗的基础研究提供基因治疗载体研制、基因功能研究、药物靶点及药效研究等CRO服务,可提供①组学服务:常规转录组、单细胞转录组、基因组、代谢组及蛋白组等。②载体构建和病毒包装:质粒、siRNA、腺相关病毒(AAV)、腺病毒(ADV)、慢病毒(LVV)、逆转录病毒(RV)、单纯疱疹病毒(HSV)等病毒载体生产服务,提供R&D、实验室级别、GMP级别,满足研发、小动物、大动物NHP到临床的不同研究阶段的使用需求。③细胞实验服务:过表达、干扰稳定株构建,单克隆细胞株构建服务及细胞功能学、药效学实验服务。④动物实验及机制研究:神经、代谢、肿瘤动物模型、药效药代、病理切片及蛋白、核酸检测服务。⑤特色项目服务:CRISPR文库筛选服务,外泌体整体研究服务,AAV衣壳筛选服务、听力研究整体项目服务,满足客户定制化或一站式项目服务,助力基础科学研究,促进基础研究到临床转化应用,推动细胞和基因治疗行业发展。