14 年
手机商铺
公司新闻/正文
509 人阅读发布时间:2025-09-16 16:33
非小细胞肺癌 (NSCLC),包括肺鳞状细胞癌 (LUSC) 和肺腺癌 (LUAD),是全世界癌症相关死亡的主要原因。新辅助免疫疗法是局部晚期 NSCLC 患者的最佳治疗方法,但个体对新辅助免疫疗法的敏感性差异仍未得到充分了解。PD-1治疗是治疗NSCLC 的标准方法,但患者对同一治疗方案的反应各不相同。肿瘤免疫微环境 (TIME) 与免疫治疗反应有关,但潜在的异质性治疗结果仍未得到充分探索。
2025年3月26日,国家癌症中心/中国医学科学院肿瘤医院高树庚教授团队与北京大学生物医学前沿创新中心张泽民院士等团队合作,在Cell上在线发表了题为“A single-cell atlas reveals immune heterogeneity in anti-PD-1-treated non-small cell lung cancer”的研究论文。应用scRNA/TCR-seq系统解析了234例非小细胞肺癌患者在新辅助治疗后的免疫微环境异质性。 分析显示五种不同的 TIME 亚型具有不同的主要病理缓解 (MPR) 。MPR 患者的FGFBP2 + NK/NK 样 T 细胞、记忆 B 细胞或效应 T 细胞水平升高,而非 MPR 患者的CCR8 + Tregs 水平较高。T 细胞克隆扩增分析揭示了非 MPR 患者的异质性,其特点是 Tex 相关细胞和CCR8 + Tregs 的扩增不同。前体耗竭 T 细胞 (Texp 细胞) 与无复发生存期相关,确定了一个尽管缺乏 MPR 但复发风险较低的患者亚组。初步识别了non-MPR患者的耐药机制,剖析了化学免疫疗法反应中的 TIME 异质性,对非小细胞肺癌的临床实践具有重要的指导价值。

为了分析PD-1治疗后的 TIME 异质性,前瞻性地随访了 334 名LUSC 或 LUAD 患者,(图 1 A)。收集了234 名接受新辅助治疗的患者的肿瘤样本,进行scRNA/TCR-seq测序,并对 CD45 +免疫细胞进行分类及注释。得到了 1,254,749 个免疫细胞的高质量图谱(图 1 D)。该图谱解析了 51 种免疫细胞亚型,涵盖T 细胞、NK细胞、B 细胞和髓系细胞。

图1 PD-1 治疗后 NSCLC的肿瘤浸润免疫细胞图谱
依据患者中不同免疫细胞亚型的相对丰度对222名患者进行NMF分类,识别了新辅助免疫治疗后的5类免疫微环境亚型(TIME-subtypes),包含富集FGFBP2+ NK细胞的高响应性亚型(TIME-NK)、富集B细胞与三级淋巴结构的高响应性亚型(TIME-BE)、富集效应T细胞的高响应性亚型(TIME-Teff)、富集Treg与终末耗竭T细胞的低响应性亚型(TIME-Treg)及富集髓系细胞的低响应性亚型(TIME-Mye)(图 2 A)。
不同TIME亚型患者的MPR率不同,其中TIME-NK(MPR% = 75.9%,22/29)、TIME-BE(MPR% = 68.6%,35/51)和TIME-Teff(MPR% = 64.0%,55/86)的MPR率较高(图2B),而TIME-Treg(MPR% = 6.5%,2/31)和TIME-Mye(MPR% = 36.0%,9/25)的MPR率较低(图2B)。值得注意的是,non-MPR患者中有近半数表现为TIME-Treg亚型,提示了Treg富集与低缓解率的相关性。在 TIME-Teff 患者中,LUAD 患者 (MPR% = 38.5%,10/26) 的 MPR 率低于 LUSC 患者 (MPR% = 75.0%,45/60) (图 2C )。总的来说,确定了五种与PD-1治疗反应相关的 TIME 亚型。

图2 免疫细胞亚群丰度分析揭示了五种 TIME 亚型
在五种 TIME 亚型的 222 名患者中,TIME-NK 患者大多达到 MPR,并表现出两种 FGFBP2 +细胞亚群的最高水平:NK_CD16hi_FGFBP2 细胞和 CD8T_NK-like_FGFBP2 细胞(图 3A-B)。NK_CD16low_GZMK 和 NK_CD16hi_FGFBP2 通过FCGR3A的表达来区分(图3C),分别对应于经典的 CD56 bright CD16 lo和 CD56 dim CD16 hi NK 细胞。CD8T_NK-like_FGFBP2表达高水平的 CD8 + T 细胞(CD3D和CD8A)和 NK 细胞(GNLY和KLDR1)标记物(图3C)。NK_CD16hi_FGFBP2和CD8T_NK-like_FGFBP2这2个细胞群高表达PRF1和GZMB,表明其细胞毒性潜力增强(图 3C)。此外,CD8T_NK-like_FGFBP2 细胞表达 TCR 基因,并在 TIME-NK 患者中表现出最高水平的克隆扩增(图 3D-E),表明它们在肿瘤清除中具有潜在作用。总之,这些数据表明FGFBP2 + NK/NK 样 T 细胞可能促进 TIME-NK 患者的肿瘤消退。

图3 FGFBP2 + NK/NK样CD8 + T细胞在MPR患者中富集
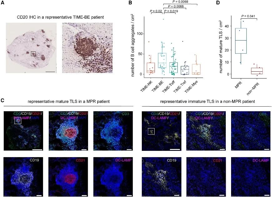
TIME-BE 患者表现出高 MPR 率和显著的记忆 B 细胞浸润(图 2 A)。CD20 免疫染色分析显示,在肿瘤消退的TIME-BE 患者中形成大量 B 细胞聚集体(图 4 A)。TIME-BE 患者在所有五个患者亚群中表现出最多的 B 细胞聚集体(图 4 B)。此外,三级淋巴结构 (TLS) 的密度以及 TLS 内 Tfh 和树突状细胞的存在与临床结果的改善相关。在 TIME-BE患者中观察到高水平的 Tfh 和树突状细胞浸润。这些发现表明 B 细胞聚集体可能代表TLS。
采用多重免疫荧光 (mIF)来评估这些 B 细胞聚集体是否代表成熟或未成熟的 TLS。鉴定出具有 DC-LAMP 信号的 CD21+TLS,表明成熟 TLS(图 4C)。还鉴定出 CD21−DC-LAMP-B 细胞聚集体,表明未成熟 TLS。在有 B 细胞聚集体的患者中,MPR 患者显示出更多成熟 TLS(图 4D),表明成熟 TLS 在促进免疫治疗反应中发挥作用。总的来说,TIME-BE 患者代表对免疫疗法高度反应的患者亚群。

图4 TIME-BE 患者的 TLS 形成
因TIME-Treg 患者中 Treg 富集与 MPR 率降低之间的相关性,进一步比较了 TIME-Teff 和 TIME-Treg的亚型异质性。发现了三种 Treg 亚型,包括prolif Treg、CCR8−Treg 和CCR8+Treg(图5A)。与CCR8 − Tregs 相比,CCR8 + Tregs 表达更高水平的TNFRSF4 、TNFRSF18和CCR8(图5 A),与之前在肺癌中描述的CCR8 + Tregs 相对应。CCR8 + Tregs 表现出最高的FOXP3、IL2RA和CTLA4表达(图 5 A),表明具有较高的免疫抑制潜力。 TIME-Teff 患者中CCR8−Treg较高,而 TIME-Treg 中CCR8+Treg 和prolif Treg 含量较高(图 5 B)。mIF 染色证实 TIME-Treg 患者的 FOXP3+CCR8+细胞数量增加,并且FOXP3+CCR8+细胞在总 FOXP3 +细胞中的比例更高(图 5 C 和5D)。这些结果表明 TIME-Teff 和 TIME-Treg 患者富含不同的 Treg 亚型。
为了研究 TIME-Teff 和 TIME-Treg 患者差异富集 T 细胞亚群的特征,分析了肿瘤浸润 T 细胞的克隆扩增特征。分析表明:与扩增的末端 Tex 细胞共享 TCR 的 CD8 + T 细胞将具有相同的抗原特异性,因此将这群 T 细胞定义为 Tex 相关细胞(图 5 E)。在 Tex 相关细胞中,未注释为扩增的末端 Tex 细胞的 CD8 + T 细胞被称为前体耗竭 T 细胞(Texp 细胞)。TIME-Teff 患者的 Tex 相关细胞中 Texp 细胞增加,而 TIME-Treg 患者的 Tex 相关细胞中终端 Tex 细胞的比例更高(图 5 G)。这些研究强调了 Texp与 PD-1治疗之间的相关性,以及 TIME-Treg患者中扩增的终端 Tex 细胞比例较高与 MPR 率降低有关。

图5 TIME-Teff和TIME-Treg患者的不同T细胞亚型及扩增状态
鉴于 T 细胞在免疫疗法中的重要作用,分析了五种 TIME 亚型在 MPR 和非 MPR 患者中Tex 相关细胞和CCR8 + Treg 的扩增情况(图 6 A)。对于 Tex 相关克隆型,TIME-Treg 患者显示出最多的 Tex 相关克隆型(图 6 B)。这些患者在所有患者亚群中还表现出最多的CCR8 + Treg 克隆型(图 6 C)。在非 MPR 患者中,具有 TIME-Teff 的 LUSC 患者显示出明显更少的 Tex 相关克隆型和CCR8 + Treg 克隆型(图 6B-C),表明非 MPR 患者的 T 细胞扩增状态存在异质性。
为了系统地了解所有非 MPR 和 MPR 患者的 T 细胞扩增状态,分析了所有患者的 Tex 相关克隆型和CCR8 + Treg 克隆型的数量。将具有 ≥9 种扩增的CCR8 + Treg 克隆型的非 MPR 患者称为Treghi non-MPR,其余称为 Treglow non-MPR(图 6D)。确定了 42 名Treghi non-MPR患者和 51 名 Treglow non-MPR患者。其中reglow non-MPR 患者的CCR8 + Treg 克隆型扩增中位数为 21 个,而 Treglow non-MPR和 MPR 患者的中位数分别为 2 个和 1 个。Treghi non-MPR包括所有五种 TIME 亚型患者(图 6 E)。相比之下,大多数具有 TIME-NK、TIME-BE 和 TIME-Mye 的非 MPR 患者是 Treglow non-MPR(图 6 E)。Treghi non-MPR患者的 Tex 相关克隆型明显多于 MPR和 Treglow non-MPR(图 6 F)。Treghi non-MPR的 Tex 相关克隆型表现出更大的扩增(图 6 G)。此外,Treghi non-MPR的 Tex 相关细胞中 Texp 细胞比例最低,CCR8 + Tregs 显示扩增增加(图 6 H-K)。这些发现表明新辅助 PD-1治疗后未达到 MPR 的 NSCLC 的患者存在异质性。Treghi non-MPR患者的 T 细胞扩增与 MPR 患者有显著差异,而 Treglow non-MPR患者与 MPR 患者相似,但 Tex 相关细胞扩增减少,CCR8 + Tregs 比例更高。

图6 五种 TIME 亚型的 T 细胞扩增状态
为了确定与新辅助免疫治疗后疾病复发相关的风险因素,分析了与无复发生存期 (RFS) 相关的免疫特征。TIME-NK 或 TIME-Teff 患者的复发风险最低,而 TIME-Treg 或 TIME-Mye 患者的 RFS 降低 (图 7 A)。尽管 LUAD 的 MPR(37.5%,15/40)低于 LUSC(62.2%,74/119),但它们的复发风险相似(图 7 B)。PRR作为连续变量被确定为与 RFS 显着相关(图 7 B)。对于 T 细胞扩增特征,扩增的CCR8 + Treg 克隆型数量与 RFS 显著相关,但 Tex 相关克隆型数量与 RFS 无关(图 7 B)。值得注意的是,Tex 相关细胞中 Texp 细胞的比例与 RFS 最显著相关(图 7 B 和 7C)。同样,所有 Treg 中CCR8 + Treg的比例也是复发风险因素(图 7 B 和7 D)。
此外,发现Treghi non-MPR和 Treglow non-MPR患者均显示出更高的复发风险(图 7 E)。Kaplan-Meier分析表明,Tex 相关细胞中 Texp 细胞比例较高与两种非 MPR 亚型的复发风险降低相关(图 7 F-G)。在所有非 MPR 患者中,Tex 相关细胞中 Texp 细胞的中位数(80.5%)比例确定了一个复发风险显着降低的亚群,与 MPR 患者相当(图 7 H-I)。综合来看,Texp 细胞在 Tex 相关细胞中的比例可以区分具有不同复发风险的非 MPR 患者,并且比 PRR 具有更高的预测准确性。

图7 Texp 细胞与无复发生存期相关

