14 年
手机商铺
公司新闻/正文
889 人阅读发布时间:2022-03-15 11:48
背景介绍
心力衰竭是各种心脏疾病的终末阶段,也是目前危害人类健康的重大公共卫生问题,尽管规范化的药物治疗显著改善心衰的临床症状,但其主要心血管事件如心衰再住院、心血管死亡发生率仍居高不下。因此,深入探索心力衰竭发生发展的病理生理过程和具体机制,有助于改善心衰患者的心功能和远期预后。研究表明,能量代谢对正常心功能的维持至关重要,而心肌能量受损与心力衰竭的发生发展密切相关。因此,深入挖掘心肌能量代谢的调节因子对心力衰竭的治疗有重要的临床价值。
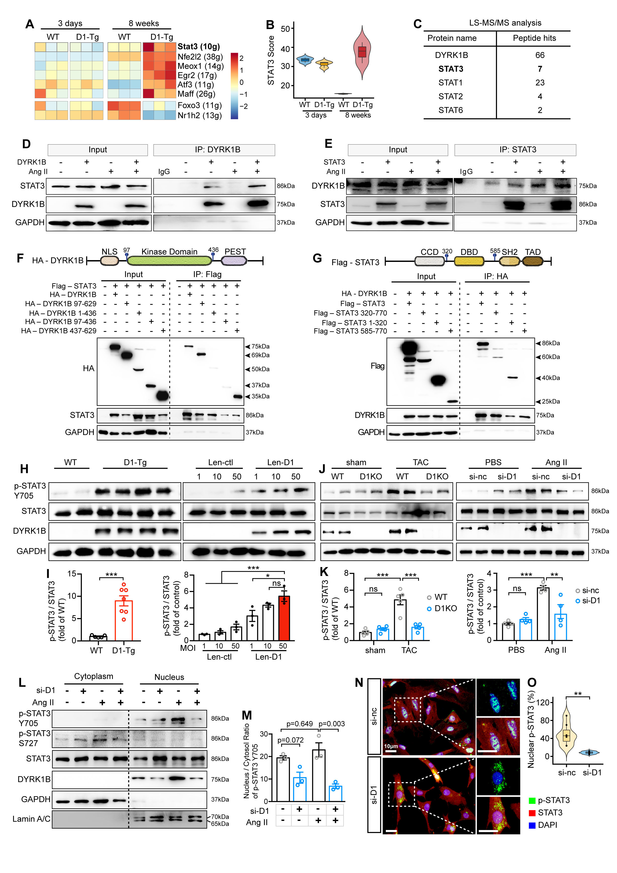
既往研究发现,蛋白激酶系统在心肌能量代谢与心力衰竭的发生发展中扮演着重要角色。其中,DYRK1B属于双特异性酪氨酸蛋白激酶家族成员,并广泛参与到肿瘤生成、细胞生长发育、能量代谢等过程。DYRK1B第102位点激活突变与中心性肥胖、糖尿病、早发冠心病的发生有关,然而其是否参与心衰及其分子机制尚不明确。
2022年3月2日,上海交通大学医学院附属瑞金医院心脏内科闫小响教授团队Circulation发表DYRK1B-STAT3 drives cardiac hypertrophy and heart failure by impairing mitochondrial bioenergetics的研究论文,揭示DYRK1B是心肌能量代谢异常和心力衰竭的核心驱动因子,探究其潜在机制。(DOI: 10.1161/CIRCULATIONAHA.121.055727)


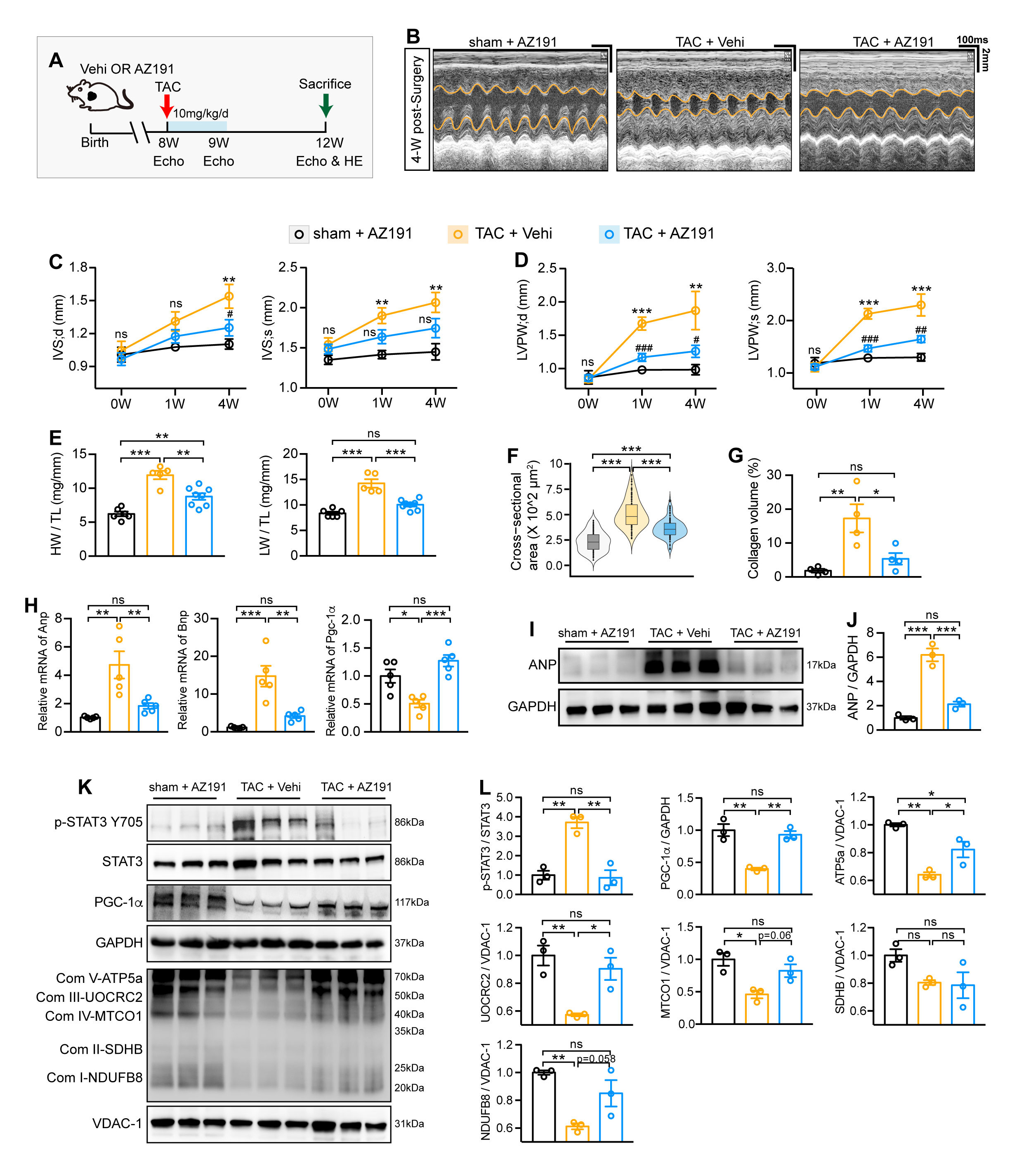
为进一步阐明DYRK1B参与心力衰竭的功能和机制,研究者构建了DYRK1B心脏特异性转基因和敲除小鼠,发现DYRK1B过表达直接导致自发性心力衰竭的发生;而DYRK1B敲除显著抑制TAC诱导的心肌肥厚和心力衰竭。通过RNA-seq测序、代谢组学、Seahorse和电镜分析,发现DYRK1B过表达导致线粒体电子传递链复合物表达、线粒体氧化磷酸化水平下降、线粒体能量生成障碍和心力衰竭的发生。



结论
综上所述,DYRK1B-STAT3信号轴通过抑制PGC-1α的表达致线粒体能量代谢受损参与心力衰竭的发生发展。该研究工作为心肌能量代谢调控心力衰竭的发生发展提供了新的靶点和思路,另一方面也丰富了DYRK1B在心血管疾病尤其是在心力衰竭发生发展中的病理作用,为将来通过调控心肌细胞能量代谢预防和治疗心力衰竭提供实验依据和理论支持。
上海交通大学医学院附属瑞金医院心脏内科庄玲芳博士为论文的第一作者,上海交通大学医学院附属瑞金医院心脏内科闫小响教授、陈康教授、张瑞岩教授和瑞金医院内分泌代谢科王计秋教授为论文的共同通讯作者。该课题得到国家自然科学基金优青项目、重点国合、重大研究计划和上海市优秀学术带头人等项目的资助。
● 和元生物有幸为该研究提供ADV包装服务。